“재채기 너무 참지 마세요”…재채기 참다가 목에 구멍난 남성

0
dmvmoa
H
  • 자유게시판 > 문콕 당하면 어떻게 대처하시나요?
  • 자유게시판 > 한국에서 아이 책 구입하려는데 관세 붙나요?
  • 자유게시판 > 6월에 영주권 갱신 신청을 했는데…
  • 자유게시판 > Muji USA에서 옷 구매해보신 분 계신가요?
  • 자유게시판 > 버지니아 fairfax에서 요요마공연 하네요
  • 자유게시판 > 차 보험이 요즘 무섭게 오르네요 ㅜㅜ
  • 자유게시판 > 아마존 최저가격 추척하는 방법
  • 뉴스
    • 로컬뉴스
    • 한인소식
    • 핫이슈
    • 연예/스포츠
  • 커뮤니티
    • 구인구직
    • 벼룩시장
    • 렌트/리스
    • 자유게시판
    • 진실의방
    • 종교방
  • 맛집소개
    • 양식
    • 한식
    • 일식
    • 중식
    • 디저트
    • 기타맛집
  • 요기어때
  • 비지니스홍보
  • 컬럼소개
  • 생활정보
    • 쿠폰/할인업소
    • 알뜰정보
    • 운전면허
    • 유틸리티
    • 시민권준비
    • 학교/유학정보
  • 업소록
 
 
 
  • 메인
  • 뉴스
  • 커뮤니티
  • 맛집소개
  • 요기어때
  • 비지니스홍보
  • 컬럼소개
  • 생활정보
  • 업소록
  • 로컬뉴스
  • 한인소식
  • 핫이슈
  • 연예/스포츠

“재채기 너무 참지 마세요”…재채기 참다가 목에 구멍난 남성

DMV모아 0 200 05.24 02:38

da7b3eb987ee6045507b384e509f2b0e_1748090281_2602.jpg 

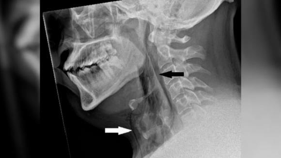
재채기를 참은 한 영국 남성이 기도가 파열돼 목 피부 아래에 공기주머니가 갇힌 것이 확인됐다. 영국 의학 저널(British Medical Journal)


재채기가 나오려 할 때 입과 코를 막고 참으려다 목에 상처가 나는 사례가 발생했다.


21일 미국 과학 전문 매체 라이브사이언스(LiceScience)에는 재채기를 참았다가 기도가 파열된 남성의 사례가 소개됐다.


이에 따르면 영국 30대 남성 A씨는 목이 부어 움직이기 힘든 상태로 던디 나인웰스 병원 응급실을 찾았다. 그는 심한 통증을 호소했다.


A씨는 운전 중 꽃가루 알레르기 증상으로 인해 재채기가 나오려 하자 코를 쥐고 입을 다물며 재채기를 참으려 했다. 하지만 그 상태로 재채기를 하게 됐고 통증이 발생해 응급실을 찾은 것이다.


그는 호흡과 삼키기, 말하는 것에는 전혀 문제가 없었다. 의료진이 엑스레이(X-ray)를 촬영한 결과 피부 아래 가장 깊은 조직층 아래에 공기가 갇히는 질환인 폐기종의 징후를 발견했다.


CT 스캔 결과 A씨 목의 세번째와 네번째 뼈 사이에 찢어짐이 생겨 기도에서 공기가 빠져나와 목 조직과 폐 사이 공간으로 들어간 것으로 나타났다. 기도에 생긴 구멍의 크기는 지름 2㎜였다.


이에 대해 의료진은 “코를 막고 입을 다문 채 재채기를 했을 때 기관지에 압력이 급격히 높아져 찢어짐이 생겼을 가능성이 높다”고 진단했다.


의료진은 “재채기를 할 때 입과 코를 막으면 ‘에취’ 하며 재채기를 내뱉을 때보다 상기도의 압력이 20배 이상 높아질 수 있다”고 설명했다.


의료진은 파열 부위를 복구하기 위한 수술은 필요하지 않다고 판단했다. 대신 이틀 동안 병원에서 환자의 산소 수치와 기타 활력 징후를 주의 깊게 관찰했다. 첫날에는 경구 음식을 제공하지 않았다. 이후 환자는 진통제와 꽃가루 알레르기 약을 처방 받고, 2주간 격렬한 활동을 피하라는 의사의 지시를 받고 퇴원했다.


5주 후 검진에서 A씨의 목을 CT 촬영한 결과 찢어진 부분이 완전히 아문 것을 확인했다.


해당 사례를 ‘영국 의학 저널(British Medical Journal)’에 보고한 라사즈 미시로브스 박사는 “재채기는 바이러스와 같은 자극 물질을 몸 밖으로 내보내는 중요한 기능으로, 억지로 참아서는 안 된다”고 강조했다.


미시로브스 박사는 “재채기를 할 땐 얼굴을 손이나 팔꿈치 안쪽으로 가려서 바이러스 같은 자극 물질이 주변 사람에게 퍼지지 않도록 해야 한다”고 말했다.


그에 따르면 코와 입을 막지 않고 재채기를 억제할 수 있는 다른 방법들도 있다. 미시로브스 박사는 개인적으로 재채기가 나올 때 윗입술 바로 아래를 엄지로 몇 초간 누르는 방법을 사용한다고 전했다. 비강 통로를 막지 않고 재채기를 멈추게 하는 방법이다.


재채기를 참으려다 그 압력이 내부로 전달되며 위험에 처한 사례는 종종 보고되고 있다. 고막이 파열될 수도 있고, 매운 드문 사례지만 얼굴에 압력이 가해지면서 뇌동맥류가 생길 수도 있다.


또한 감기나 독감으로 인해 나오는 재채기를 참을 경우에는 박테리아가 감염된 공기를 중이로 밀어넣어 중이염에 걸릴 수도 있으며, 횡경막에 압력을 가하면서 기흉이 올 수도 있다고 전문가는 경고했다.




[©헤럴드경제=채상우 기자] 

Facebook Twitter GooglePlus KakaoStory NaverBand Naver Tumblr Pinterest 프린트
0 Comments
로그인한 회원만 댓글 등록이 가능합니다.
목록
포토 제목 날짜 조회
  • “머리 아플때 맥도날드 가세요” 의사의 조언… 대체 왜?
    200 05.25
    05.25
    200
  • 71년생부터 은퇴연령 70세로 연장… “언제까지 일하나” 반발 나온 이 나라
    229 05.25
    05.25
    229
  • “뺨 때리기 대회, 미리 단련” 영상 화제… 전통 무술 ‘통배권’의 일종?
    180 05.25
    05.25
    180
  • “부엌에서 빵이나 구워” 한마디에…친구 몸에 불질렀다
    194 05.24
    05.24
    194
  • "흙수저 출신이 더 믿을만"…신뢰도 측정 연구결과 '반전'
    213 05.24
    05.24
    213
  • “재채기 너무 참지 마세요”…재채기 참다가 목에 구멍난 남성
    201 05.24
    05.24
    201
  • ‘폐암 원인’ 공방 12년… “담배 회사가 500억 보상” vs “흡연은 개인 선택”
    232 05.24
    05.24
    232
  • 해변서 모래 구덩이 파다 갇혀 죽을 뻔…3시간만에 구조된 남성
    189 05.23
    05.23
    189
  • '안젤라 매디슨 흥민'...토트넘 우승날 태어난 영국팬 딸이름 화제
    235 05.23
    05.23
    235
  • 낮에는 의사, 밤에는 고물상 ‘투잡’ 뛰는 여의사, 왜?
    178 05.23
    05.23
    178
  • 잘 키우겠다던 유기견 요리해 먹방 올린 여성…"비 오는 날 먹기 딱"
    224 05.23
    05.23
    224
  • 쇼크로 쓰러진 아빠 입에 약을 쏙…2살 딸이 한 놀라운 행동
    214 05.22
    05.22
    214
  • 바다도 덥다…하와이 스노클링에서 마주한 ‘충격 장면’
    228 05.22
    05.22
    228
  • 비행기 입석 설치해 승객 20% 더 채운다?... “노예선이냐” 반응은 떨떠름
    225 05.22
    05.22
    225
  • 600년 문화재가…물줄기 쏟아지듯 굉음 내며 '와르르'
    193 05.22
    05.22
    193
  • 초기화
  • 날짜순
  • 조회순
  • 방문순
정렬
검색
  • 21
  • 22
  • 23
  • 24
  • 25
  • 26
  • 27
  • 28
  • 29
  • 30

Search

DMV모아 최신글
  • 1 문콕 당하면 어떻게 대처하시나요? [1]
  • 2 일본라멘가게, 파타임 서버 구함
  • 3 한국에서 아이 책 구입하려는데 관세 붙나요? [1]
  • 4 6월에 영주권 갱신 신청을 했는데… [1]
  • 5 미용사 구함 (챈틀리)
  • 6 Muji USA에서 옷 구매해보신 분 계신가요? [1]
  • 7 생활 편의시설이 좋은 지역- 페어펙스/VA
  • 8 버지니아 fairfax에서 요요마공연 하네요
  • 9 차 보험이 요즘 무섭게 오르네요 ㅜㅜ
  • 10 아마존 최저가격 추척하는 방법
 
 
 
 
 
 
 
 
 
 
  • 사이트 소개
  • 이용약관
  • 개인정보처리방침
  • 이메일 무단수집거부
  • 책임의 한계와 법적고지
  • 공지사항
  • 이용안내
  • 문의하기
  • 모바일버전
  • 광고/제휴문의 : moajoaportal.info@gmail.com / 702.556.2236
  • DMV 모아 All rights reserved.
로그인 회원가입 정보찾기
MENU
홈으로
이벤트
업소록
1:1 문의
  뉴스
  • 로컬뉴스
  • 한인소식
  • 핫이슈
  • 연예/스포츠
  커뮤니티
  • 구인구직
  • 벼룩시장
  • 렌트/리스
  • 자유게시판
  • 진실의방
  • 종교방
  맛집소개
  • 양식
  • 한식
  • 일식
  • 중식
  • 디저트
  • 기타맛집
요기어때
비지니스홍보
컬럼소개
  생활정보
  • 쿠폰/할인업소
  • 알뜰정보
  • 운전면허
  • 유틸리티
  • 시민권준비
  • 학교/유학정보
업소록
STATS
  • 113 명현재 접속자
  • 594 명오늘 방문자
  • 1,401 명어제 방문자
  • 5,396 명최대 방문자
  • 1,061,072 명전체 방문자
  • 24,298 개전체 게시물
  • 1,542 개전체 댓글수
SEARCH
MEMBER
  • 회원가입
  • 아이디/비밀번호 찾기
SERVICE
  • 자주하시는 질문(FAQ)
  • 1:1 문의
  • 새글모음
  • 현재접속자
  • 0